526 Riverfront Ave SE, Calgary
CALL US  |  (403) 263-9014
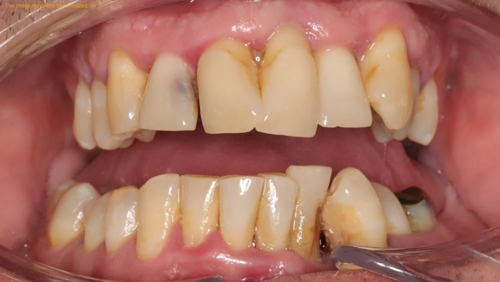
Stop Living In Discomfort Or Feeling Embarrassed About Your Teeth
Stop Feeling Embarrassed About Your Teeth

Enjoy a Lifetime of Confidence 
And Comfort with a Brand-New Set 
Of Teeth In Just One Day!

Enjoy a Lifetime of Confidence And Comfort with a Brand-New Set Of Teeth In Just One Day!

On this page you will learn how our "Fixed Dental Implant Bridge" treatment will eliminate the pain, discomfort, and embarrassment of failing teeth and gum disease... So you can have a brand new smile in just 24 Hours!
Free 3D X-Ray Scan ($350 Value)  |  100% Free Consultation  |  In Person or Online Appt.

Make Hiding Your Smile a Thing of the Past!

Take the First Step to a Permanent and Brand-New Smile in Just One Day!

Discover If Our Permanent Dental Restoration Implants Treatment Is For You
Click here to schedule your FREE no-obligation consultation in person or over Zoom.

Make Hiding Your Smile a Thing of the Past!

Find Out How You Can Get a Permanent and Brand-New Smile in Just One Day!

Watch The Video Below To Discover If Our Permanent Dental Restoration 
Implants Treatment Is For You

Your Free Consultation Will Be Scheduled With...

Dr. Greg Broyde

BSc, DDS  |  15 Years Experience
Client Smile Transformations
Client Smile Transformations

See How The Fixed Implant 
Bridge Treatment Is Transforming 
Our Patients Smiles

See How The Fixed Implant Bridge Treatment Is Transforming Our Patients Smiles

Free 3D X-Ray Scan ($350 Value)  |  100% Free Consultation  |  In Person or Online Appt.
What Is The Right Option For YOU?
What Is The Right Option For YOU?

If You’re Considering Dentures…

They are a cost-effective solution for replacing missing teeth. They are relatively quick to produce and can be easily removed for cleaning and maintenance.

Dentures are created by taking impressions of your mouth to ensure a proper fit, and then crafting the dentures in a dental lab to match the shape and size of your gums and remaining teeth.
However, the reality is:
However, the reality is:
  • They can slip or shift while eating or speaking, causing you to experience unexpected embarrassing moments and inconvenience. 
  • They require frequent adjustments and replacements, which can be time-consuming and costly long-term.
  • They do not address the issue of bone loss in the jaw, leading to further dental problems over time. 
  • They can cause sore spots and irritation in the mouth, leading to constant discomfort.

If You’re Considering Snap-On Dentures...

They provide a more secure fit compared to traditional dentures, offering better stability while eating and speaking.

They can be easily removed for cleaning and maintenance, providing convenience and improved oral hygiene.
The procedure involves placing implants into your jawbone, which the dentures then snap onto. This process usually requires multiple appointments to place the implants and fit the dentures properly, ensuring a snug and comfortable fit.
That said, it’s important to be aware of some potential drawbacks:
  • They may require regular adjustments to maintain a proper fit, adding to your dental visits.
  • They can still be unstable, especially when eating harder foods.
  • They do not prevent bone loss in the jaw, which can lead to additional dental issues.

If You’re Considering Traditional Dental Implants…

This offers a permanent solution for replacing missing teeth, providing a natural look and feel.

When it comes to the procedure, it involves placing titanium implants into your jawbone, which serve as a sturdy foundation for crowns or bridges.
But, there are some important considerations to keep in mind:
  • The process can be lengthy and invasive, involving multiple visits over several months.
  • Extended recovery times can leave you unable to eat or speak comfortably for weeks.
  • Higher costs due to additional procedures like bone grafting can be overwhelming.
While They May Help You Improve Your Dental Health...

the drawbacks may prevent you from getting the results you’ve always wanted

From the constant adjustments and discomfort of dentures or snap-on dentures…

These treatments can leave you feeling exhausted and frustrated before you even begin.

But today, you can avoid the downsides of these treatments, because…
While They May Help You Improve Your Dental Health...

these drawbacks may prevent you 
from getting the results you’ve always wanted

these drawbacks may prevent you 
from getting the results you’ve always wanted

From the constant adjustments and discomfort of dentures or snap-on dentures…

These treatments can often leave you feeling exhausted and frustrated 
before you even begin.

But today, you can avoid the downsides of these treatments, because…
While They May Help You Improve Your Dental Health...

these drawbacks may prevent you 
from getting the results you’ve always wanted

these drawbacks may prevent you from getting the results you’ve always wanted

From the constant adjustments and discomfort of dentures or snap-on dentures…

These treatments can often leave you feeling exhausted and frustrated before you even begin.

But today, you can avoid the downsides of these treatments, because…
There’s A Better Way! 
There’s A Better Way! 

Imagine a 1-Day Solution to Your 
Dental Health That Offers Immediate Results and a Lifetime of Benefits

Imagine a 1-Day Solution to Your Dental Health That Offers Immediate Results and a Lifetime of Benefits

No more pain from dentures slipping or shifting while you eat or speak,  No more frequent adjustments and dental visits for snap-on dentures, No more lengthy procedures, waiting months for traditional dental implants. 

And most importantly No more dealing with failing teeth, infections, and missing 
out on your favorite meals. 

Instead you can look forward to…
No more pain from dentures slipping or shifting while you eat or speak,  No more frequent adjustments and dental visits for snap-on dentures, No more lengthy procedures, waiting months for traditional dental implants. 

And most importantly No more dealing with failing teeth, infections, and missing out on your favorite meals. 

Instead you can look forward to…

✅ New teeth in Just 1 day

Get a full set of new teeth in just one day, minimizing the disruption to your busy life.

✅ Fast And Effective

Walk out of our clinic with a beautiful, functional smile without the waiting periods.

✅ You can Eat right away

Enjoy a comfortable fit and the ability to eat your favorite foods right away.

✅ Actually Save's You money

Save money in the long run, as these implants are permanent and eliminate the need for frequent replacements or additional procedures.

✅ a long lasting solution

Benefit from durable and long-lasting implants designed to provide you with a long lasting solution to dental problems.

No More Pain

No more pain from dentures slipping or shifting while you eat or speak. 

No more Frequent Visits

No more frequent adjustments and dental visits for snap-on dentures. 

No More Waiting

No more lengthy procedures, waiting months for traditional dental implants. 

New teeth in Just 1 day

Get a full set of new teeth in just one day, minimizing the disruption to your busy life.

Fast And Effective

Walk out of our clinic with a beautiful, functional smile without the waiting periods.

You can Eat right away

Enjoy a comfortable fit and the ability to eat your favorite foods right away.

Actually Save's You money

Save money in the long run, as these implants are permanent and eliminate the need for frequent replacements or additional procedures.

a long lasting solution

Benefit from durable and long-lasting implants designed to provide you with a long lasting solution to dental problems.

This hassle-free, solution 
will transform your smile in just one day

We utilize a new method called Fixed Dental Implant Bridge that 
uses implants to secure a full arch of teeth, giving you a full 
set of brand-new teeth.

This hassle-free, solution Will Transform Your Smile In Just One Day!

We utilize a new method called Fixed Dental Implant Bridge that uses implants to 
secure a full arch of teeth, giving you a full set of brand-new teeth.
Free 3D X-Ray Scan ($350 Value)  |  100% Free Consultation  |  In Person or Online Appt.

This hassle-free, solution Will Transform Your Smile In Just One Day!

We utilize a new method called Fixed Dental Implant Bridge that uses implants to 
secure a full arch of teeth, giving you a full set of brand-new teeth.
Free 3D X-Ray Scan ($350 Value)  |  100% Free Consultation  |  In Person or Online Appt.
There’s A Better Way! 
There’s A Better Way! 

Imagine a 1-Day Solution to Your Dental Health That Offers Immediate Results and a Lifetime of Benefits

No more pain from dentures slipping or shifting while you eat or speak,  No more frequent adjustments and dental visits for snap-on dentures, No more lengthy procedures, waiting months for traditional dental implants. 

And most importantly No more dealing with failing teeth, infections, and missing out on your favorite meals. 

Instead you can look forward to…

✅ New teeth in Just 1 day

Get a full set of new teeth in just one day, minimizing the disruption to your busy life.

✅ Fast And Effective

Walk out of our clinic with a beautiful, functional smile without the waiting periods.

✅ You can Eat right away

Enjoy a comfortable fit and the ability to eat your favorite foods right away.

✅ Actually Save's You money

Save money in the long run, as these implants are permanent and eliminate the need for frequent replacements or additional procedures.

✅ a long lasting solution

Benefit from durable and long-lasting implants designed to provide you with a long lasting solution to dental problems.

No More Pain

No more pain from dentures slipping or shifting while you eat or speak. 

No more Frequent Visits

No more frequent adjustments and dental visits for snap-on dentures. 

No More Waiting

No more lengthy procedures, waiting months for traditional dental implants. 

New teeth in Just 1 day

Get a full set of new teeth in just one day, minimizing the disruption to your busy life.

Fast And Effective

Walk out of our clinic with a beautiful, functional smile without the waiting periods.

You can Eat right away

Enjoy a comfortable fit and the ability to eat your favorite foods right away.

Actually Save's You money

Save money in the long run, as these implants are permanent and eliminate the need for frequent replacements or additional procedures.

a long lasting solution

Benefit from durable and long-lasting implants designed to provide you with a long lasting solution to dental problems.

This hassle-free, solution 
will transform your smile in just one day

We utilize a new method called Fixed Dental Implant Bridge that 
uses implants to secure a full arch of teeth, giving you a full 
set of brand-new teeth.

This hassle-free, solution Will Transform Your Smile In Just One Day!

We utilize a new method called Fixed Dental Implant Bridge that uses implants to 
secure a full arch of teeth, giving you a full set of brand-new teeth.
Free 3D X-Ray Scan ($350 Value)  |  100% Free Consultation  |  In Person or Online Appt.

This hassle-free, solution Will Transform Your Smile In Just One Day!

We utilize a new method called Fixed Dental Implant Bridge that uses implants to secure a full arch of teeth, giving you a full set of brand-new teeth.
Free 3D X-Ray Scan ($350 Value)  |  100% Free Consultation  |  In Person or Online Appt.
Your New Smile In Just One Day!

introducing Our Fixed Dental 
Implant Bridge Treatment

Unlike traditional dentures or snap-on dentures, our implants offer a lasting, stable, and comfortable fit that allows you to live your life without the constant worry about your teeth.
Place Holder Images

When you undergo this treatment, the entire process is completed in just one day, thanks to our innovative approach that uses implants to secure a full arch of teeth. This allows you to walk out of our clinic with a brand-new smile.

And if you’re worried about pain during the procedure, don’t be. Most patients report minimal discomfort afterward.

This is because of our modern IV-sedation technique, which ensures you’re comfortable and pain-free throughout.
Your New Smile In Just One Day!
Your New Smile In Just One Day!

introducing Our Fixed Dental 
Implant Bridge Treatment

introducing Our Fixed Dental Implant Bridge Treatment

Unlike traditional dentures or snap-on dentures, our implants offer a lasting, stable, and comfortable fit that allows you to live your life without the constant worry about your teeth.
When you undergo this treatment, the entire process is completed in just one day, thanks to our innovative approach that uses implants to secure a full arch of teeth. This allows you to walk out of our clinic with a brand-new smile.
And if you’re worried about pain during the procedure, don’t be. Most patients report minimal discomfort afterward.
This is because of our modern IV-sedation technique, which ensures you’re comfortable and pain-free throughout.
Free 3D X-Ray Scan ($350 Value)  |  100% Free Consultation  |  In Person or Online Appt.

This Hassle-Free, Permanent Solution Will Transform Your Smile In Just One Day

We utilize a new method called Fixed Dental Implant Bridge (or all-on-four implants) 
to give you a full set of brand-new teeth. 
How Does It Even Work?
How Does It Even Work?

Here’s a step-by-step 
breakdown

Here’s a step-by-step breakdown

STEP ONE

Free Comprehensive Consultation

We start with a thorough evaluation of your dental health, including a 3D x-ray (Cone Beam Computed Tomography) scan.

This advanced imaging technology allows us to plan the procedure with incredible precision and efficiency.

Most clinics don't have a 3D x-ray machine, so you’d have to go to a third-party location, which can cost $200-$400 and require an extra appointment.

But with us, it’s complimentary as part of our ‘Fixed Dental Implant Bridge Implant’ consultation.

STEP TWO

Implant Placement

This is when we permanently place the full-mouth dental implants. These implants act as sturdy, permanent roots for your new teeth, providing a strong foundation for a beautiful, natural-looking smile.

If you’re worried about the pain, don’t be! You’ll be comfortably asleep during this step, thanks to our modern anesthesia techniques. This ensures a pain-free and stress-free experience, allowing you to wake up with your new implants already in place.

This step is crucial as it prepares your mouth for the final prosthetic attachment, ensuring that your new teeth are secure and perfectly aligned.

STEP THREE

Advanced Prosthetic Attachment

And lastly, we screw on an advanced set of prosthetics that sit securely on the dental implants, providing a stable, natural-looking set of fully restored teeth.

Step Four

Enjoy Your Brand New Set of Teeth!

Walk out of our clinic with a confident, beautiful smile in just 24 hours.
 
As you look in the mirror, you see a set of beautiful, natural-looking teeth that feel just as good as they look.

No more hiding your smile or feeling self-conscious in social situations. You can laugh freely, enjoy your favorite foods, and speak with confidence, knowing that your teeth are secure and comfortable.

Picture yourself biting into a crisp apple or savoring a delicious steak without any hesitation or discomfort.

Your new teeth will not only enhance your appearance but also improve your overall quality of life, allowing you to live fully and fearlessly.

We’ll also provide step-by-step aftercare instructions and support to make sure your recovery is smooth and quick.
Free 3D X-Ray Scan ($350 Value)  |  100% Free Consultation  |  In Person or Online Appt.
Lastly, The Final Step...
Lastly, The Final Step...

Enjoy Your Brand New Set of Teeth!

Enjoy Your Brand New
Set of Teeth!

Walk out of our clinic with a confident, beautiful smile in just 24 hours.

As you look in the mirror, you see a set of beautiful, natural-looking teeth that feel just as good as they look.
No more hiding your smile or feeling self-conscious in social situations. You can laugh freely, enjoy your favorite foods, and speak with confidence, knowing that your teeth are secure and comfortable.
Picture yourself biting into a crisp apple or savoring a delicious steak without any hesitation or discomfort.
Your new teeth will not only enhance your appearance but also improve your overall quality of life, allowing you to live fully and fearlessly.

We’ll also provide step-by-step aftercare instructions and support to make sure your recovery is smooth and quick.
Free 3D X-Ray Scan ($350 Value)  |  100% Free Consultation  |  In Person or Online Appt.
Now, If You’re Still On The Fence If Our Treatment Is For You…

Here’s a Quick Look At The Difference between Our Fixed Dental Implant Bridge Treatment and Dentures

Dentures

Snap-On Dentures

Fixed Dental Implant Bridge Treatment

How quickly can I get my new set of teeth?

  Typically, it can take several weeks to a few months to get a complete set of dentures, including the time needed for impressions, fittings, and adjustments.
  The process can take a few months as it involves placing implants and allowing time for healing before the snap-on dentures can be attached.
  Get a full set of teeth in just 24 hours




When can I start 
eating normally?

  Limited diet; certain foods must be avoided



  Only soft foods are allowed after the procedure; harder foods may need to be avoided initially until fully healed.
  Enjoy soft foods immediately after the procedure


How many Appts. are needed?

  Multiple visits for fittings and adjustments

  Snap-on dentures require multiple visits as well for fittings and adjustments.
  Only one appointment needed to get your teeth

What material 
is used?

  Acrylic or other materials



  Acrylic or other materials



  High-quality Zirconia. It is known for its strength, durability, and natural appearance. 

How precise 
is the fit?

  Manual adjustments and may require frequent fittings

  Manual adjustments and may require frequent fittings

  Teeth are digitally mapped for a precise fit

How natural will my new teeth look 
and feel?

  Can look less natural, may feel bulky




  Snap-on dentures can provide a more natural appearance compared to traditional dentures, but they may still feel bulkier than natural teeth. 
  Designed to provide a slim, comfortable, and natural feel




Will I be comfortable during the procedure?

  Most patients find the process to be manageable with minimal discomfort.


  Minor procedures may be involved, but overall discomfort is minimal.


  Yes. You’ll be comfortable whether you’re under local anesthetic or regular freezing. If you need IV sedation, it will be provided at no extra cost.

Would You Rather Spend Months with Multiple Dental Visits, Extended Recovery Times, Discomfort, and Unstable Dentures...

Or Achieve a New, Beautiful Smile in Just One Day With Minimal Discomfort and a Quick Recovery?
Free 3D X-Ray Scan ($350 Value)  |  100% Free Consultation  |  In Person or Online Appt.
Now, If You’re Still On The Fence…

Here’s a Quick Look At The Difference between Our Fixed Dental Implant Bridge Treatment and Dentures

How quickly can I get my new set of teeth?

Dentures

  • Typically, it can take several weeks to a few months to get a complete set of dentures, including the time needed for impressions, fittings, and adjustments.

Snap-On Dentures

  • The process can take a few months as it involves placing implants and allowing time for healing before the snap-on dentures can be attached.

Fixed Dental Implant Bridge Treatment

  • Get a full set of teeth in just 24 hours

When can I start eating normally?

Dentures

  • Limited diet; certain foods must be avoided

Snap-On Dentures

  • Only soft foods are allowed after the procedure; harder foods may need to be avoided initially until fully healed

Fixed Dental Implant Bridge Treatment

  • Enjoy soft foods immediately after the procedure

How many Appointments are needed?

Dentures

  • Multiple visits for fittings and adjustments

Snap-On Dentures

  • Snap-on dentures require multiple visits as well for fittings and adjustments.

Fixed Dental Implant Bridge Treatment

  • Only one appointment needed to get your teeth

What material is used?

Dentures

  • Acrylic or other materials

Snap-On Dentures

  • Acrylic or other materials

Fixed Dental Implant Bridge Treatment

  • High-quality Zirconia. It is known for its strength, durability, and natural appearance. 

How precise is the fit?

Dentures

  • Manual adjustments and may require frequent fittings

Snap-On Dentures

  • Manual adjustments and may require frequent fittings

Fixed Dental Implant Bridge Treatment

  • Teeth are digitally mapped for a precise fit

How natural will my new teeth look and feel?

Dentures

  • Can look less natural, may feel bulky

Snap-On Dentures

  • Snap-on dentures can provide a more natural appearance compared to traditional dentures, but they may still feel bulkier than natural teeth. 

Fixed Dental Implant Bridge Treatment

  • Designed to provide a slim, comfortable, and natural feel

Will I be comfortable during the procedure?

Dentures

  • Most patients find the process to be manageable with minimal discomfort.

Snap-On Dentures

  • Minor procedures may be involved, but overall discomfort is minimal.

Fixed Dental Implant Bridge Treatment

  • Yes. You’ll be comfortable whether you’re under local anesthetic or regular freezing. If you need IV sedation, it will be provided at no extra cost.

Would You Rather Spend Months with Multiple Dental Visits, Extended Recovery Times, Discomfort, and Unstable Dentures...

Or Achieve a New, Beautiful Smile in Just One Day With Minimal Discomfort and a Quick Recovery?
Free 3D X-Ray Scan ($350 Value)  |  100% Free Consultation  |  In Person or Online Appt.
Client Smile Transformations
Client Smile Transformations

Take A Look At Why Our Patients Love Their New Smiles

Free 3D X-Ray Scan ($350 Value)  |  100% Free Consultation  |  In Person or Online Appt.
If You’re Still On The Fence…
If You’re Still On The Fence…

We Want You To Think About What’s At Stake If You Continue To Ignore Your Dental Health

Option #1

continue to push your dental 
health aside

continue to push your dental health aside

Look, we know you're struggling. 

But if you continue to push your dental health aside, imagine what the future could look like.

Picture yourself a few years from now, still dealing with the same dental issues…
  • The constant pain from failing teeth, the embarrassment of gum disease, and the daily struggle with dentures that don’t fit right. 
  • Social gatherings become even more uncomfortable, and you find yourself avoiding them altogether. 
  • Eating your favorite foods becomes a distant memory as you stick to a limited diet that avoids anything too hard or chewy.
  • Your dental health continues to decline, leading to more severe problems that require even more invasive and costly treatments. 
  • The anxiety and stress of not knowing what each dental visit will bring start to take a toll on your overall well-being. 
And all the while…

You’re going to miss out on moments of joy and connection because you’re too self-conscious about your smile.

Option #2

But it doesn’t have to be this way!

With our “Fixed Dental Implant Bridge Treatment,” you can change this future without waiting for months and going through a long recovery period.
  • Imagine waking up with a brand-new smile in just one day. 
  • No more pain, no more embarrassment, and no more avoiding the things you love. 
  • You’ll be able to eat freely, laugh without hesitation, and enjoy life with the confidence that comes from having a beautiful, healthy smile.
The choice is yours…
Free 3D X-Ray Scan ($350 Value)  |  100% Free Consultation  |  In Person or Online Appt.
Client Smile Transformations
Client Smile Transformations

Take A Look At What Our Patients have to say

Connie was struggling with dental issues that left her feeling self-conscious and uncomfortable.

Every visit to the dentist felt daunting, and she longed for a change that would improve her smile and boost her confidence.
"This procedure has changed my life. The team at the dental office, including Dr. Greg, was fantastic—friendly and welcoming. They explained everything clearly and listened to my needs, making adjustments to suit my preferences. My mouth feels better, my smile looks better, and I feel better about myself. It's truly life-changing."

Jeannie faced challenges with her teeth that affected her confidence and lifestyle.

After opting for fixed implants, her life changed dramatically.
"I felt comfortable with Dr. Broyde from that get go. Other dentists made me feel guilty, but not here. Once I got past the initial healing, I could eat everything—apples, corn on the cob, nuts. My diet and confidence improved. I no longer work a job I hate; I moved into a people-centered field where personal connection matters. My teeth are no longer a limiting factor. The team made me feel like a person, not an ATM. If you’re considering dentures or implants, I’d 1,000% recommend going the fixed route. It changed everything for me."

Grant faced significant challenges with his teeth, impacting his ability to eat and smile confidently. 

Even eating something as simple as lettuce was difficult. Dentures weren't the right fit for him, so he opted for dental implants. Here's what he has to say about his experience now:
“I can eat anything I want, and that is a blessing in itself. Everything is done in a timely manner, and it's a 10 out of 10. I don't think he could do any better.”

Prem struggled with brittle upper teeth and frequent infections.

After being advised that nothing could be done, he found Dr. Greg and experienced a remarkable transformation:
"Oh my god, it was awful... no upper teeth, no bite. Now I have a very good bite. Ever since I've had that, I haven't got even one infection in the last year. Now I can eat carrot easily, apple easily... cashews, pistachios, all those good things. Dr. Greg is a wonderful man... he planned this day about two visits earlier, and then the third one was the same day he did the extraction, installation of the implant, as well as installation of the teeth. It's unheard of... people can't believe it happened all this in one day."

David underwent a complete upper and lower implant procedure.

Facing issues with eating and smiling, he knew it was time for a change:
"My confidence was mediocre at best, and I'm in a service industry, so a smile is everything. The confidence probably went to a nine and a half. This has been, like, probably a 10 out of 10 experience. Dr. Greg and his staff were very good... very patient. The trust in Dr. Greg and his staff was unquestionable. What you've done is life-changing. So thank you very much. And as much as I love you and your team, I can't wait till I never have to see you again."

Julie faced self-consciousness due to missing teeth...

Which impacted her confidence and ability to enjoy life fully. After consulting with Dr. Greg Broyde, she chose implants:
"After getting the implants, the way that I feel now is a billion times better. My self-confidence has increased tremendously. I actually can smile, showing my teeth versus a closed mouth smile. It just makes me look happy. I am happier. I enjoy life a lot more. I can eat better foods. It's wonderful just being able to dig into a hamburger and a nice juicy steak and corn on the cob is a big thing." Dr. Broyde and his staff are absolutely incredible. I suffer from anxiety when it comes to dentists... they made me feel so comfortable. I used IV sedation, and it was great. I don't remember a darn thing. It was pain-free. If I were to leave a Google review for Dr. Broyde and his wonderful team, it would be five plus, plus, plus."

Lawrence faced the challenge of balancing dental appointments with his busy work schedule.

Fortunately, Dr. Greg's team provided a flexible solution:
"He worked around my schedule, which I really like because I'm not a fan of taking off work in the middle of the day. They made it very easy, and I appreciate that. If somebody's considering dentures or implants, I would say at least explore the implant route. Five out of five for sure. Dr. Greg and his team do get it done right."
Free 3D X-Ray Scan ($350 Value)  |  100% Free Consultation  |  In Person or Online Appt.
Frequently Asked Questions
Frequently Asked Questions

Still have questions?

Click The Question To View Answer

  Where are you located?

We are located at 526 Riverfront Ave SE, Calgary, Alberta T2G 1E4.

  How long does the “Fixed Dental Implant Bridge” procedure take?

The entire procedure is completed in just one day, allowing you to walk out with a brand-new, permanent smile.

  What is the recovery time for the procedure?

Most patients can return to their normal routine within 48 hours. You can start enjoying soft foods immediately after the procedure.

  Is the procedure painful?

Our IV sedation techniques ensure that you’re comfortable and pain-free throughout the procedure. Most patients report minimal discomfort afterward.

  How many appointments are needed?

Only one appointment is needed to get your new set of teeth, making the process quick and convenient.

  What materials are used for the implants?

We offer a few types of materials for the implants, including Acrylic and Zirconia. We highly recommend Zirconia due to its strength, durability, and natural appearance.

  Will I be asleep during the procedure?

It depends. Many of our patients undergo the procedure with just local anesthetic or regular freezing, but we offer IV sedation options for those who require it, at no extra cost.

  How precise is the fit of the implants?

Our teeth are digitally mapped for a precise fit, ensuring optimal results and a natural feel.

  How long do the implants last?

With proper care and maintenance, our dental implants are designed to last a lifetime. Regular check-ups and good oral hygiene are essential to ensure their longevity.

  Will my new teeth look natural?

Absolutely! Our implants are crafted to look and feel like natural teeth. We use advanced materials and digital mapping to ensure a perfect fit and a natural appearance.

  What if I have existing dental issues?

Our procedure is designed to address a wide range of dental issues, including failing teeth, gum disease, and ill-fitting dentures. During your consultation, we will assess your dental health and create a customized treatment plan for you.

  How do I maintain my new implants?

Maintaining your new implants is similar to caring for natural teeth. Regular brushing, flossing, and dental check-ups are essential to keep your implants in excellent condition.

  Where are you located?

We are located at 526 Riverfront Ave SE, Calgary, Alberta T2G 1E4.

  How long does the “Fixed Dental Implant Bridge” procedure take?

The entire procedure is completed in just one day, allowing you to walk out with a brand-new, permanent smile.

  What is the recovery time for the procedure?

Most patients can return to their normal routine within 48 hours. You can start enjoying soft foods immediately after the procedure.

  Is the procedure painful?

Our IV sedation techniques ensure that you’re comfortable and pain-free throughout the procedure. Most patients report minimal discomfort afterward.

  How many appointments are needed?

Only one appointment is needed to get your new set of teeth, making the process quick and convenient.

  What materials are used for the implants?

We offer a few types of materials for the implants, including Acrylic and Zirconia. We highly recommend Zirconia due to its strength, durability, and natural appearance.

  Will I be asleep during the procedure?

It depends. Many of our patients undergo the procedure with just local anesthetic or regular freezing, but we offer IV sedation options for those who require it, at no extra cost.

  How precise is the fit of the implants?

Our teeth are digitally mapped for a precise fit, ensuring optimal results and a natural feel.

  How long do the implants last?

With proper care and maintenance, our dental implants are designed to last a lifetime. Regular check-ups and good oral hygiene are essential to ensure their longevity.

  Will my new teeth look natural?

Absolutely! Our implants are crafted to look and feel like natural teeth. We use advanced materials and digital mapping to ensure a perfect fit and a natural appearance.

  What if I have existing dental issues?

Our procedure is designed to address a wide range of dental issues, including failing teeth, gum disease, and ill-fitting dentures. During your consultation, we will assess your dental health and create a customized treatment plan for you.

  How do I maintain my new implants?

Maintaining your new implants is similar to caring for natural teeth. Regular brushing, flossing, and dental check-ups are essential to keep your implants in excellent condition.

  Book Your Free Consultation

Do You Want a Brand-New Smile in Just 24 Hours?

Click Below to schedule your FREE no-obligation 
consultation in person or over Zoom.
Free 3D X-Ray Scan ($350 Value)  |  100% Free Consultation  |  In Person or Online Appt.

  Book Your Free Consultation

Do You Want a Brand-New Smile in Just 24 Hours?

Click Below to schedule your FREE no-obligation consultation in person or over Zoom.
Free 3D X-Ray Scan ($350 Value)  |  100% Free Consultation  |  In Person or Online Appt.
Eastvillagedental.com - All Rights Reserved 2024
Built By Rocketfunnels
Powered By ClickFunnels.com